

During austenitizing the carbides in the knife steel are gradually dissolved and carbon and chromium are released and can be distributed in the steel matrix. This enables both high hardness and good corrosion resistance after completed heat treatment.
When a sufficient amount of carbides in the knife steel has dissolved, this condition must be preserved by cooling the steel rapidly (known as quenching). During the quenching process, the structure of the steel is transformed from austenite into martensite, and the hardness increases due to this transformation.
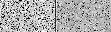
Part of the austenite present in the knife steel at high temperature is not transformed at quenching but remains in the material in the form of retained austenite. Retained austenite is a soft and tough component in the microstructure of the finished knife blade.
After quenching, the knife steel must be tempered in order to increase the toughness of the steel.